Загрузка...
Ортодонтия
Лечение
Дети
Не знаете, какое лечение вам нужно? Запишитесь на бесплатную консультацию →
Все услугиЗагрузка...

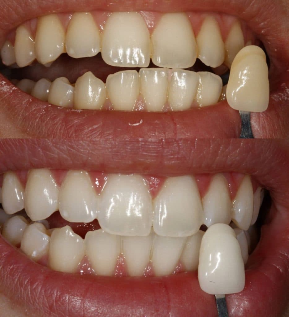
Преображение улыбки с помощью виниров, профессионального отбеливания и эстетического контурирования для естественного и сияющего вида.
Обзор
Каждое эстетическое лечение начинается с детального анализа улыбки и черт лица. Цель — достижение естественного, гармоничного результата, дополняющего физиономию пациента.

Почему выбрать

Как это работает
В зависимости от выбранного лечения процедура может занять от одного сеанса (профессиональное отбеливание) до нескольких недель (керамические виниры).
Мы используем премиальные материалы и технологии последнего поколения.
Большинство эстетических процедур имеют минимальный период восстановления. Временная чувствительность зубов может появиться после отбеливания, но проходит в течение нескольких дней.
Специалист доступен для бесплатной оценки
Категория
Эстетика
Цена услуги
от 4,500 MDL